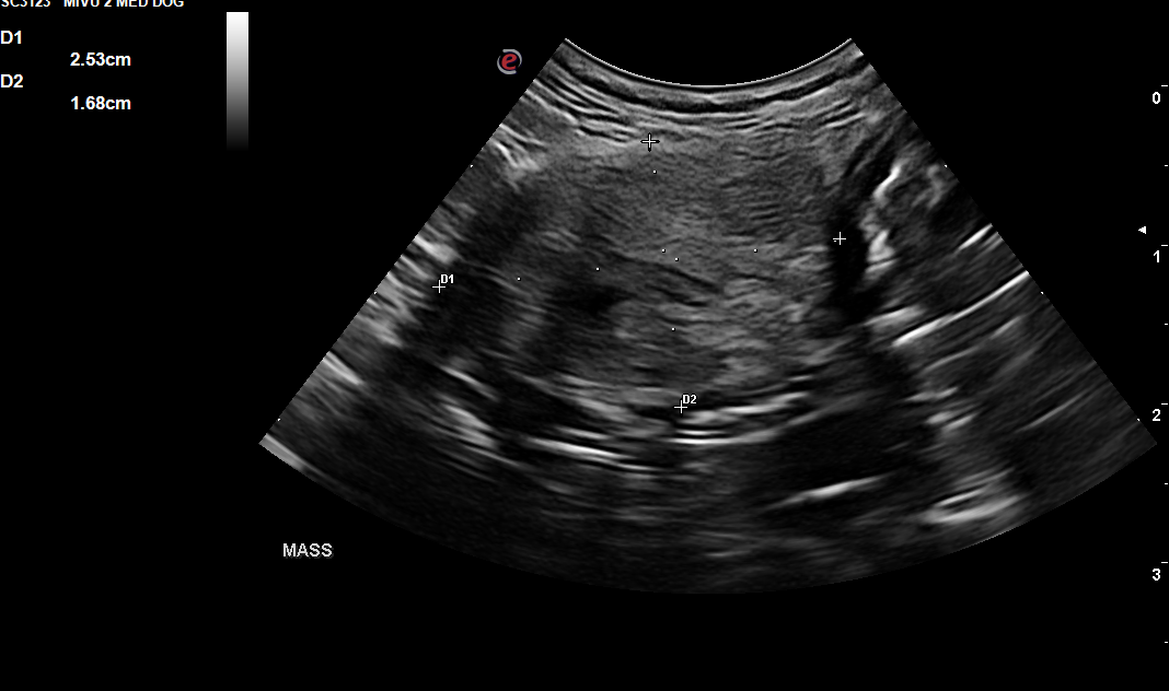
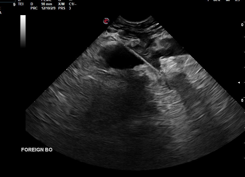
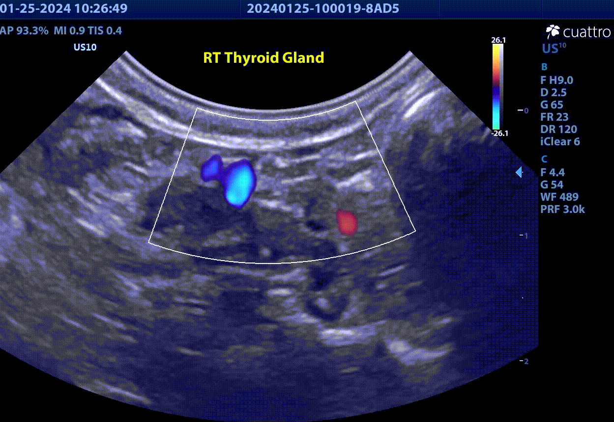
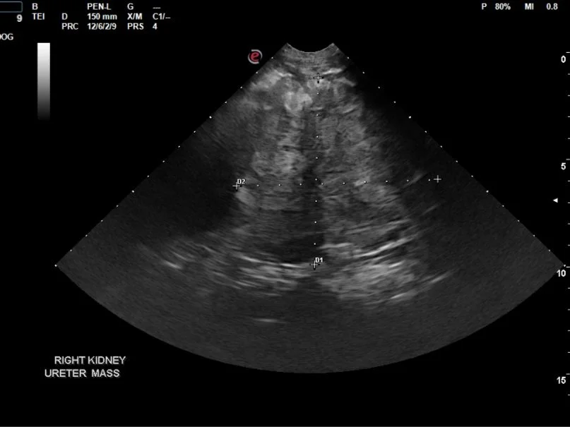
Case of the Month Featured Jan 9, 2025 Suspected Renal Dysplasia in a young dog Jan 9, 2025 Sonographer: Meredith Adams, DVM Jan 9, 2025 Dec 5, 2024 Incidental Abdominal Mass Dec 5, 2024 Sonographer: Emily Evans, DVM Dec 5, 2024 Nov 1, 2024 Ultra Rare Pancreatic Disease in Cats Nov 1, 2024 Sonographer: Mallory Repellin DVM Nov 1, 2024 Oct 8, 2024 Suspected Carcinomatosis in a Feline Oct 8, 2024 Sonographer: Kara Woody DVM Oct 8, 2024 Sep 19, 2024 Lameness in a Dog Sep 19, 2024 Sonographer: Anne Desrochers DACVIM Sep 19, 2024 Jul 31, 2024 Ruff Findings: Uncovering a Rib Mass in a Juvenile Dog Jul 31, 2024 Sonographer: Danny Laderberg DVM Jul 31, 2024 Jul 3, 2024 Thyroid Carcinoma in a Canine Jul 3, 2024 Sonographer: Meredith Adams DVM Jul 3, 2024 May 30, 2024 Pituitary Dependent and Adrenal Dependent Hyperadrenocorticism in Two Littermates May 30, 2024 Sonographer: Emily Evans BVM&S May 30, 2024 May 1, 2024 Gastrointestinal Adenocarcinomas in a Feline May 1, 2024 Sonographer: Mallory Repellin DVM May 1, 2024 Mar 27, 2024 March’s Case of the Month - 2024 Mar 27, 2024 Sonographer: Kara Woody DVM Mar 27, 2024 Feb 28, 2024 February's Case of the Month- 2024 Feb 28, 2024 Sonographer: Anne Desrochers, DACVIM Feb 28, 2024 Feb 1, 2024 January's Case of the Month-2024 Feb 1, 2024 Sonographer: Danny Laderberg, DVM Feb 1, 2024 Dec 28, 2023 December’s Case of the Month-2023 Dec 28, 2023 Sonographer: Meredith Adams, DVM Dec 28, 2023 Nov 30, 2023 Novembers Case of the Month-2023. Nov 30, 2023 Sonographer: Emily Evans DVM Nov 30, 2023 Nov 1, 2023 October's Case of the Month - 2023 Nov 1, 2023 Sonographer: Mallory Repellin DVM Nov 1, 2023 Sep 27, 2023 September's Case of the Month - 2023 Sep 27, 2023 Sonographer: Kara Woody DVM Sep 27, 2023 Aug 30, 2023 August's Case of the Month - 2023 Aug 30, 2023 Sonographer: Anne Desrochers DACVIM Aug 30, 2023 Aug 3, 2023 July's Case of the Month - 2023 Aug 3, 2023 Sonographer: Meredith Adams, DVM Aug 3, 2023 Jul 6, 2023 June's Case of the Month! Jul 6, 2023 Sonographer: Emily Evans, BVM&S Jul 6, 2023 Jun 7, 2023 May's Case of the Month - 2023 Jun 7, 2023 Sonographer: Mallory Repellin, DVM Jun 7, 2023 Apr 26, 2023 April's Case of the Month - 2023 Apr 26, 2023 Sonographer: Kara Woody, DVM Apr 26, 2023 Mar 29, 2023 March's Case of the Month - 2023 Mar 29, 2023 Sonographer: Anne Desrochers, DACVIM Mar 29, 2023 Mar 1, 2023 February's Case of the Month - 2023 Mar 1, 2023 Sonographer: Meredith Adams, DVM Mar 1, 2023 Feb 1, 2023 January's Case of the Month - 2023 Feb 1, 2023 Sonographer: Dr. Emily Evans Feb 1, 2023